Palig Logo
Centro de Bienestar
Recursos para ayudarte en tu viaje de bienestar de salud y financiero
Piel, cabello y uñas
Remedios naturales para aliviar la culebrilla
18 de abril 2023
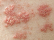
El brote o erupción de las ampollas que produce la culebrilla puede generar picazón y dolor intenso. Afortunadamente, existen muchos remedios naturales para calmar las molestias, erradicar estas lesiones y lograr que cicatricen cuanto antes.

El brote o erupción de las ampollas que produce la culebrilla puede generar picazón y dolor intenso. Afortunadamente, existen muchos remedios naturales para calmar las molestias, erradicar estas lesiones y lograr que cicatricen cuanto antes.

El brote o erupción de las ampollas que produce la culebrilla puede generar picazón y dolor intenso. Afortunadamente, existen muchos remedios naturales para calmar las molestias, erradicar estas lesiones y lograr que cicatricen cuanto antes.
Cuando alguien enferma de varicela, el virus que la provoca permanece inactivo en el cuerpo dentro de determinadas células del sistema nervioso. A medida que se envejece, o si se debilita el sistema inmunitario, se puede reactivar y multiplicar, con lo que surge la erupción del herpes zóster, culebrilla o shingles.
La primera señal suele ser un dolor similar a una quemadura u hormigueo, a veces acompañado por entumecimiento sobre o debajo de la piel. La persona también puede sentirse enferma, con fiebre, escalofríos, dolor de cabeza o malestar estomacal. Después de algunos días, aparece sobre la piel una erupción de ampollas llenas de líquido, semejantes a las de la varicela, junto a un dolor intenso.
Aproximadamente uno de cada cinco adultos que tuvo varicela contraerá culebrilla en algún momento de su vida. Se estima que ocurren casi un millón de casos cada año, y si bien cualquier persona que haya tenido varicela corre peligro de contraerla, el riesgo aumenta con la edad (la mitad de los casos ocurren en mayores de 60 años). Afortunadamente, las siguientes opciones pueden ser útiles para combatirla:
El ajo es un potente antibacteriano y antiviral natural, ideal para combatir las ampollas. Lo único que tienes que hacer es partir los dientes por la mitad y frotarlos durante unos segundos sobre la zona afectada para secar las erupciones. Además, su consumo regular puede ayudarte a fortalecer el sistema inmunitario, elevando tus defensas y protegiéndote de virus y bacterias.
Quién diría que la miel que tienes en la alacena es uno de los mejores recursos para aliviar las ampollas producidas por la culebrilla. Hasta la segunda Guerra Mundial, este dulce se usó en el tratamiento de heridas por sus propiedades antibacteriales y antiinflamatorias. Recientemente, distintos estudios también la vincularon con un mayor alivio de la picazón.
Hace más de 3.000 años los egipcios consideraban a la caléndula una planta milagrosa. Se cree que, gracias a sus propiedades antisépticas y cicatrizantes, capaces de estimular la acción natural de curación dérmica y la regeneración de la piel dañada, ayuda a combatir la culebrilla. Para aprovecharla, puedes preparar una infusión de caléndula y aplicar compresas sobre la zona afectada.
La avena es muy popular en el desayuno, sin embargo, este cereal también puede ser un potente aliado en la lucha contra la culebrilla. Los baños con base de avena son muy eficaces para refrescar la piel, ayudar a que las ampollas se sequen más rápido y calmar la picazón. Basta con añadirla en un recipiente con agua tibia, aplicarla y dejar que seque un poco sobre tu piel. Luego, enjuaga y seca con cuidado.
El vinagre comúnmente se usa como aderezo de ensaladas, aunque también es un ingrediente muy versátil y de aplicación tópica que te puede ayudar a secar las ampollas y frenar la picazón. Esto es posible gracias a su poder cicatrizante, antimicótico y antibacterial. Basta con que mojes un paño y lo frotes sobre la zona afectada, pero cuidado, puede que arda un poco.
En la sabiduría popular, el toronjil es considerado uno de los remedios más eficaces para eliminar el virus de la culebrilla y evitar que vuelvan a aparecer los brotes. Debido a su riqueza en polifenoles, se asocia a efectos analgésicos, calmantes, y antiespasmódicos que ayudan a disminuir las molestias de esta enfermedad. Para usarlo, prepara una infusión y aplica compresas sobre la zona afectada.
La uña de gato es una hierba muy popular en la medicina alternativa, debido a su potente efecto antiinflamatorio y antiviral. Su uso data de la civilización incaica y los sacerdotes peruanos asháninka consideraban que tenía grandes poderes para evitar enfermedades. Se le atribuye gran capacidad para estimular y aumentar las defensas por lo que se recomienda beber una infusión regularmente.
Originario de Australia, los nativos de este país han utilizado aceite de árbol de té desde hace siglos. A esta planta se le atribuyen propiedades antisépticas para combatir infecciones virales y bacterianas, así como un gran potencial para fortalecer el sistema inmunitario y las defensas del organismo. Sólo debes diluir sus gotas en un aceite portador, humedecer un algodón y aplicarlo sobre la zona afectada para que sequen las ampollas.
Las propiedades del diente de león son conocidas desde hace tiempo. En América, los nativos utilizaban la raíz para tratar inflamaciones, problemas de la piel y malestar estomacal. Las hojas secas pueden colocarse en agua caliente para preparar una infusión y aplicar compresas en la zona afectada para ayudar a secar las ampollas, aliviar el ardor, picazón e inflamación.
Debido a su gran incidencia en la población mayor, las autoridades de salud instan a las personas mayores de 50 años (antes era a partir de los 60) a vacunarse contra el herpes zóster. Los especialistas aseguran que esta es la mejor defensa contra una afección dolorosa que debilita y afecta el funcionamiento de nuestro organismo.
Hasta contar con evidencia científica significativa proveniente de ensayos en humanos, las personas interesadas en utilizar terapias a base de hierbas y suplementos deben tener mucho cuidado. No abandones ni modifiques tus medicamentos o tratamientos, antes habla con el doctor sobre los potenciales efectos de las terapias alternativas o complementarias.
Base Exhaustiva de Datos de Medicamentos Naturales, Biblioteca Nacional de Medicina de EE. UU., Clínica Mayo, Instituto Nacional de Alergias y Enfermedades Infecciosas, Instituto Nacional de Medicina Complementaria y Alternativa.
The Phia Group Aviso de Incidente de Seguridad de Datos
Suscríbete a uno o ambos boletines hoy y recibe contenido de salud y bienestar financiero.
Confirmo que he leído y aceptado las políticas de privacidad del sitio web de PALIG